Новости
Личные финансы
Родители и дети
Здоровье
Ещё
Развлечения и отдых
Дом и уют
Спорт
Карьера
Авто
Технологии и тренды
Жизненные ситуации
Сберегаем вместе
Еда
Гороскопы
Почта
Поиск
Погода
ТВ-программа
Помощь
Поиск по интернету
ЗОЖ
Болезни
Здоровое питание
Лекарства
Красота
Психология
Новости медицины
Наука
Новости ЗОЖ
Все материалы за 27 февраля 2018
27 февраля
Февраль
2018
пн
вт
ср
чт
пт
сб
вс
1
2
3
4
5
6
7
8
9
10
11
12
13
14
15
16
17
18
19
20
21
22
23
24
25
26
27
28
Сегодня
В Москве стартовал учебный курс по миниинвазивным операциям
Новости
27 февраля 2018
Бедным жителям Индии начнут бесплатно делать пластику груди
Новости
27 февраля 2018
Пациенты подмосковных клиник начали получать распечатанные заключения врача на руки
Новости
27 февраля 2018
В Тюмени «рак» выявляют на ранней стадии: итоги года
Новости
27 февраля 2018
Мужчины ничего не знают о риске рака молочной железы для них
Новости
27 февраля 2018
Применение стволовых клеток несет риск тромбоза
Новости
27 февраля 2018
Найден способ победить неизлечимый рак
Новости
27 февраля 2018
Жители Ижевска стали в пять раз чаще болеть «мышиной лихорадкой»
Новости
27 февраля 2018
В Москве врачей поликлиник начали обучать этике общения с пациентами
Новости
27 февраля 2018
Ученые нашли главную причину физического старения
Новости
27 февраля 2018
За 5 лет диспансеризацию прошли почти 700 тысяч жителей Ярославской области
Новости
27 февраля 2018
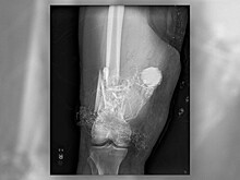
Хирурги удалили из бедра неразорвавшийся заряд фейерверка
Новости
27 февраля 2018
Ученые нашли причину болезненной реакции на негативные комментарии незнакомцев в соцсетях
Новости
27 февраля 2018
Популярный препарат от алкозависимости признан неэффективным
Новости
27 февраля 2018
Китайские инженеры создали аппарат для выявления недугов
Новости
27 февраля 2018
Новости партнеров
1
2
3
4
5