Женщина воспользовалась необычным способом контрацепции и едва не потеряла часть легкого

Женщина установила в руку подкожный контрацептив и через шесть лет едва не потеряла часть легкого. Этот медицинский случай Великобритания) в журнале BMJ Case Report.

Женщина использовала подкожный контрацептив и едва не потеряла часть легкого
© Lenta.ru

Сообщается, что 30-летняя женщина за шесть лет до обращения к медикам установила в левую руку подкожный имплантат, обеспечивающий защиту от нежелательной беременности. По ее словам, спустя неделю после процедуры она не смогла нащупать инородное тело, но беспокоиться не стала, так как решила, что так и должно быть.

В следующие несколько месяцев женщина отметила, что ее менструации стали скудными и нерегулярными, что является нормальной реакцией на имплантат. Спустя три года, когда действие контрацептива закончилось, ее цикл полностью восстановился.

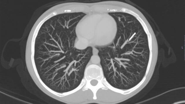
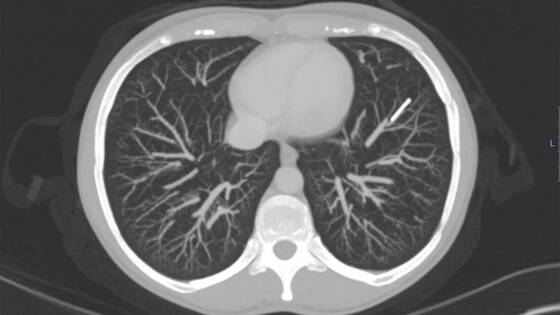
Когда женщина вспомнила про инородное тело в организме, она решила его удалить. Она обратилась к врачам, однако те не смогли обнаружить имплант в положенном месте. В попытках его найти специалисты сначала сделали пациентке рентгенографию, а затем — КТ с контрастом. В итоге имплантат удалось обнаружить в одной из артерий левого легкого, куда он мигрировал по венозному пути через сердце. При этом никаких признаков воспаления в легком, кашля, одышки, боли в груди или кровохаркания у женщины все эти годы не было.

Отмечается, что, если бы она обратилась за медицинской помощью, как только заметила, что не может нащупать контрацептив, его можно было бы извлечь малоинвазивным способом. Однако за шесть лет он врос в легкое, поэтому извлечь его можно было, лишь удалив два сегмента нижней доли органа. Узнав о возможных рисках и осложнениях после операции, женщина от нее отказалась. Поскольку жалоб на здоровье у нее не было, врачи согласились с ее решением, но посоветовали при появлении боли в груди или кашля с кровью незамедлительно обратиться в больницу.

Ранее писательница Аша Дор рассказала, как забеременела после вазэктомии супруга. По ее словам, после процедуры они с мужем продолжали предохраняться, пока он не вернулся с контрольного приема и не объявил, что его бесплодие подтверждено.