Подмосковные врачи спасли от инсульта и ампутации ноги мужчину с «хрустальными» сосудами

Хирурги Мытищинской больницы прооперировали пациента с пораженными сосудами нижних конечностей и критическим сужением сонных артерий. Об этом сообщила пресс-служба министерства здравоохранения Московской области.

Подмосковные врачи спасли от инсульта и ампутации ноги мужчину с «хрустальными» сосудами
© Агентство «Москва»

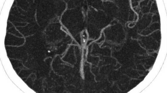
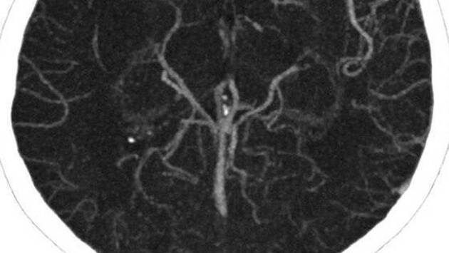
«В Мытищинскую больницу поступил 70-летний мужчина с жалобами на сильные боли в ноге, хромоту и почерневший палец на стопе. Проведенное обследование установило значительное поражение артерий нижних конечностей и начавшийся некроз пальца. Также оказалось, что у пациента критическое сужение сонных артерий – около 15 см от ключицы до основания черепа. Такое состояние развилось на фоне прогрессирующего атеросклероза», – говорится в сообщении.

В ведомстве отметили, что врачам предстояло бороться не только за спасение ноги пациента от ампутации, но и за его жизнь, так как множественные сужения на разных участках сонной артерии достигали 70–90%.

«Стенки сосудов были не эластичными, как должно быть в норме, а хрупкими из-за отложений кальция. По плотности они напоминали хрусталь. Был крайне высок риск инсульта. Понадобилась срочная операция по удалению атеросклеротических бляшек в сосудах. Она заняла около трех часов и прошла успешно. <...> После заживления операционного разреза провели плановую операцию по реконструкции артерий нижней конечности и компенсировали в ней кровообращение, болевой синдром купирован», – приводит пресс-служба слова заведующего отделением сосудистой хирургии Родиона Шилова.

В министерстве добавили, что в ходе обследования врачи также выявили у пациента новообразования глотки и гортани. После восстановления от операции на сосудах его перевели в лор-отделение для дальнейшего обследования и лечения.