Желание помастурбировать закончилось для мужчины угрожающей жизни травмой

Попытка 59-летнего мужчины помастурбировать закончилась угрожающим жизни расслоением аорты. Его историю рассказало издание The Sun.

Желание помастурбировать закончилось для мужчины угрожающей жизни травмой
© Lenta.ru

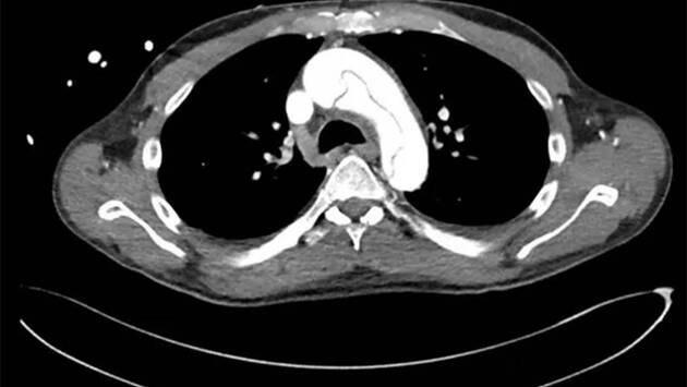
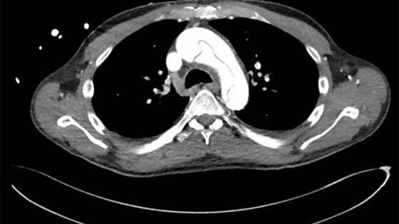
Сообщается, что мужчина вызвал скорую помощь, когда после мастурбации почувствовал, что у него сводит челюсти и покалывает в руках. Врачи были озадачены симптомами пациента и поначалу предположили у него тяжелый случай инфекционного заражения крови. Однако проведенные ими анализы и исследования показали, что у мужчины расслоение аорты — разрыв крупнейшей артерии в организме, сопровождающийся сильной кровопотерей и сердечной недостаточностью.

По данным издания, этот случай примечателен тем, что у пациента не было боли в груди, одышки, повышенного потоотделения, тошноты, потери сознания и других симптомов, характерных для расслоения аорты. В отчете врачей отделения неотложной медицинской помощи больницы Маунт-Синай в Нью-Йорке (США) отмечается, что только 6,4 процента людей с этой патологией не испытывают острой боли в области грудины. Также, по мнению специалистов, необычно, что у мужчины после мастурбации выступили слезы.

Ранее психиатр Майкл Олла раскрыл характерные признаки зависимости от секса. Главным тревожным симптомом он назвал навязчивые мысли об интимной близости.