В России разработан новый алгоритм лечения повреждения костей таза, что снизило показатели смертности таких пациентов

Инновацию воплотили в жизнь ученые из педиатрического факультета РНИМУ им. Н. И. Пирогова Минздрава России под руководством профессора Карена Альбертовича Егиазаряна. Новинка стала призером XX Премии в области медицины.

В России разработан новый алгоритм лечения повреждения костей таза
© runews24.ru

Известно, что смертность среди пациентов с такими травмами составляет от 10% до 68% и зависит от степени угрозы здоровью и качества медпомощи. Ранние методики хоть и снизили летальность и ускоряют реабилитацию, но нуждались в качественной переработке и структурировании.

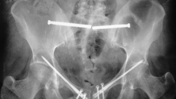
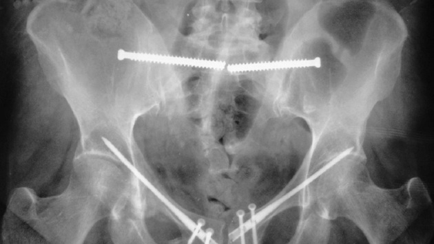
Сейчас вместо широких разрезов при остановке кровотечения используют тампонаду через небольшой разрез-прокол. При этом для анализа ситуации врачи используют методы компьютерного моделирования. Это же помогает при определении допустимых пределов нагрузки для метода фиксации.

Для подготовки к операции помогают 3D-модели костей таза. По данным innovanews.ru, после стабилизации костей таза винтами, стержнями и пластинами можно более эффективно прогнозировать восстановление пациентов.

Преимуществами нового метода стали: 

  • четкость и ясность при оказании помощи пациентам с повреждениями тазового кольца;
  • отсутствие нецелесообразных затрат;
  • высокое качество планирования и выполнения операций;
  • быстрое восстановление пациентов;
  • низкая летальность.

Новинку уже применяют в ГКБ им. С.П. Боткина, ГКБ № 1 им. Н.И. Пирогова.  

Данный материал носит ознакомительный характер. Перед применением рекомендаций обратитесь за консультацией к специалистам. 

Ранее эксперт Юхина заявила, что генетика расширяет возможности диагностики, лечения и профилактики болезней.