В Петербурге из организма пенсионера вывели около девяти литров мочи

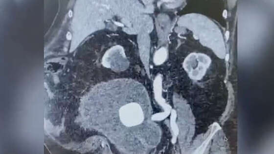
Медики Петербурга спасли пациента с большим количеством жидкости в мочевом пузыре, которую приняли за новообразование. Об этом сообщает Елизаветинская больница в официальном сообществе во "ВКонтакте". В медучреждение обратился 70-летний пенсионер, которого перевели из другой клиники с диагнозом: "Гигантское образование брюшной полости". Во время исследований выяснилось, что у мужчины перерастянут мочевой пузырь. Установив мочевой катетер, врач выпустил из пациента почти девять литров мочи. У пациента обнаружили хроническую задержку мочи, цистит и множественные камни мочевого пузыря. На данный момент пенсионер находится на амбулаторном лечении, но скоро его госпитализируют для планового осмотра. По словам медиков, этот случай является уникальным, так как нормальный объем мочевого пузыря у мужчины достигает 700 миллилитров. Самый большой объем органа зафиксировали у гражданина Индии. Из его организма вывели 11 литров мочи.

В Петербурге из организма пенсионера вывели около девяти литров мочи
© Газета.Ru