Онколог назвала симптомы рака молочных желез

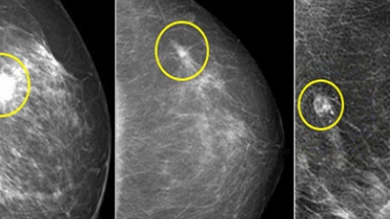
Рак молочной железы один из самых распространенных среди женщин видов онкозаболеваний. Несмотря на это, диагностируют заболевание чаще всего на поздних стадиях. По словам онколога-маммолога из Екатеринбурга, Маргариты Магдаляновой, вовремя выявить новообразование можно при регулярном самообследовании.

Онколог назвала симптомы рака молочных желез
© runews24.ru

Онколог рассказала, что чаще всего рак можно заподозрить, если в груди наблюдается уплотнение, которое обычно не вызывает боли и не проявляется в общем состоянии. Однако при самостоятельном осмотре его можно обнаружить.

Поэтому врач рекомендовала женщинам регулярно проводить самопальпацию, ощупывая свою грудь и обращая внимание на любые необычные уплотнения или изменения, сообщает e1.ru.