Новости
Личные финансы
Родители и дети
Здоровье
Ещё
Развлечения и отдых
Дом и уют
Спорт
Карьера
Авто
Технологии и тренды
Жизненные ситуации
Сберегаем вместе
Еда
Гороскопы
Почта
Поиск
Погода
ТВ-программа
Помощь
Поиск по интернету
$
81.14
€
93.42
ЗОЖ
Болезни
Запись к врачу
Здоровое питание
Лекарства
Красота
Психология
Новости медицины
Наука
Новости ЗОЖ
Алан Фридман.
Главные новости, фото и видео
29 марта
Март
2026
пн
вт
ср
чт
пт
сб
вс
1
2
3
4
5
6
7
8
9
10
11
12
13
14
15
16
17
18
19
20
21
22
23
24
25
26
27
28
29
30
31
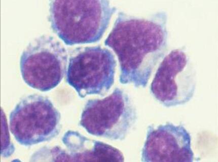
Отредактированные клетки костного мозга позволяют замедлить рост раковых опухолей
Новости
7 марта 2020
1