Биологи уточнили механизм развития болезни Дюшенна

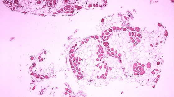
Российские биологи показали на мышах, что при мышечной дистрофии Дюшенна происходят структурные перестройки энергетических станций клетки — митохондрий. В результате нарушается транспортировка ионов кальция, которые участвуют в регуляции мышечного сокращения. Этот механизм, вероятно, способствует развитию болезни, но он же может послужить мишенью для ее терапии. Статья опубликована в журнале Biochimica et Biophysica Acta (BBA) – Molecular Basis of Disease. Ученые из Марийского государственного университета (Йошкар-Ола), а также их коллеги из Института теоретической и экспериментальной биофизики (ИТЭБ) РАН Пущино) исследовали миопатию (или миодистрофию) Дюшенна — тяжелое генетическое заболевание, которым болеет один из пяти тысяч мальчиков (девочки реже). Болезнь проявляется в снижении плотности костей, ограничении подвижности суставов. У пациентов наблюдается плохая осанка, увеличенные икры, нарастающая слабость, нарушение сердечного ритма, они чаще других детей ломают руки и ноги. Из-за быстро прогрессирующей болезни уже в подростковом возрасте человек не может передвигаться сам, а после возникает сердечная и дыхательная недостаточность, из-за которых большинство пациентов гибнет в 15–25 лет. Причина заболевания — мутация гена, кодирующего белок дистрофин. Этот белок отвечает за связь мышечных волокон с внеклеточным матриксом, окружающим клетки. Развитие болезни Дюшенна также тесно связано с нарушением работы митохондрий, ведь они не только обеспечивают клетку энергией, но и регулируют содержание кальция в клетке, а этот параметр влияет на работу основных двигательных белков мышцы. Михаил Дубинин проводит тест на струне Михаил Дубинин/Марийский государственный университет Ученые исследовали состояние структур, связанных с транспортом кальция, в митохондриях скелетных мышц. Для этого использовали мышей с точечной мутацией в гене дистрофина, а здоровые животные вошли в контрольную группу. Сначала биологи провели тест на струне, где мыши нужно провисеть 30 секунд на жесткой проволоке, держась за нее передними лапами. По результатам испытания делаются выводы о ее силе и выносливости. Для изучения структуры митохондрий ученые готовили препараты мышечной ткани бедра и фиксировали их в специальном растворе. Затем образцы обезвоживали концентрированными спиртами и помещали в капсулу со смолой. Ультратонкие срезы мышечной ткани изучали под электронным микроскопом. На следующем этапе ученые рассмотрели, как митохондрии разных мышей поглощают, высвобождают и удерживают ионы кальция. Ученые установили, что при мышечной дистрофии Дюшенна в этих органеллах меняются структура и роль систем, ответственных за транспорт ионов кальция. У животных с мутацией эти митохондрии поглощают ионы кальция в два раза медленнее, чем у здоровых. Кроме того, митохондрии больных мышей в целом способны принять в себя гораздо меньше кальция, и удерживают его хуже, чем у контрольной группы. Из-за этого проницаемость мембраны митохондрии нарушается, и может начаться высвобождение веществ, запускающих программу клеточной гибели. Новые данные помогут в разработке методов терапии этой неизлечимой сегодня болезни. Понравился материал? Добавьте Indicator.Ru в «Мои источники» Яндекс.Новостей и читайте нас чаще. Пресс-релизы о научных исследованиях, информацию о последних вышедших научных статьях и анонсы конференций, а также данные о выигранных грантах и премиях присылайте на адрес science@indicator.ru.

Биологи уточнили механизм развития болезни Дюшенна
© Индикатор