Панамец отрастил мошонку до колен

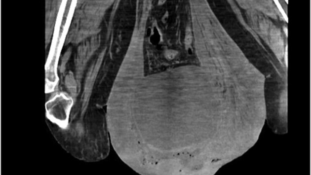
43-летний мужчина из Панамы поступил в отделение неотложной помощи местной больницы с необычайно обширным отеком мошонки - она увеличилась настолько, что доходила до колен. Редкий случай врачи описали в журнале Urology Case Reports.

Панамец отрастил мошонку до колен
© Газета.Ru

Мужчина рассказал, что мошонка начала отекать еще 30 лет назад, но за медицинской помощью он не обращался. В итоге дошло до того, что он передвигался с помощью ходунков, а его матери приходилось помогать ему в большинстве повседневных дел.

Кожа мошонки была утолщена, на ней находились обширные язвы, из которых вытекал дурно пахнущий гной. Обследование показало, что причиной таких изменений в теле стала паховая грыжа. Из-за отсутствия лечения она привела к лимфостазу в области мошонки. Затем у мужчины развилась инфекция, которая привела к гангрене.

Конечным диагнозом стала гангрена Фурнье — быстро прогрессирующая гангрена мошонки с высоким риском летального исхода. Хирурги экстренно прооперировали мужчину, отдельной проблемой было добраться до «утонувшего» в мошонке пениса, чтобы поставить катетер. На следующий день операцию пришлось повторить, удалив еще часть омертвевшей ткани. Также мужчине были назначены антибиотики.

Перевязки на протяжении следующих пяти дней оказались настолько болезненными, что врачи решили удалить мошонку полностью. Затем они также провели операцию по уменьшению грыжи. Спустя 4 недели мужчина успешно восстановился после операций.