Нерожденный ребенок спас жизнь матери

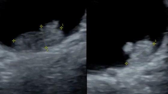
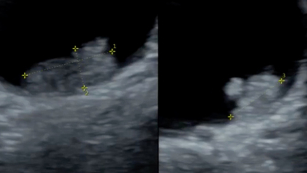
Жительница английского города Саутгемптон, графство Гэмпшир, вовремя заметила злокачественную опухоль благодаря УЗИ на раннем сроке беременности. Об этом рассказывает издание Daily Mirror. 29-летняя Ясмин Рэндолл (Yasmin Randall) прошла ультразвуковое исследование на восьмой неделе беременности. Специалист подтвердил, что плод развивается нормально, но нашел новообразование в мочевом пузыре женщины. Если бы не УЗИ, опухоль могла остаться незамеченной. Врачи предупредили Рэндолл, что операция во время беременности повышает риск выкидыша. Однако медлить также было нельзя, поскольку растущая опухоль могла вызвать внутреннее кровотечение. В этом случае под угрозой оказались бы жизни и ребенка, и матери. На 19-й неделе беременности Рэндолл прооперировали. К тому времени размер опухоли увеличился еще на сантиметр. Чтобы уменьшить риск для плода, ее удаляли при спинальной анестезии, обычно используемой при кесаревых сечениях. Из-за этого во время операции женщина оставалась в сознании. Беременность продолжилась без осложнений, и через четыре месяца у Рэндолл родилась дочь. «Это ребенок-чудо, — говорит она. — Потрясающе, что она пережила операцию, когда была еще в животе. Более того, она спасла мне жизнь». В феврале сообщалось, что жительница австралийского города Мельбурн спутала симптомы рака с беременностью и обратилась к врачу. У нее обнаружили опухоль яичника диаметром 13 сантиметров.

Нерожденный ребенок спас жизнь матери
© Lenta.ru