Суицидальные наклонности связали с увеличением опухоли мозга

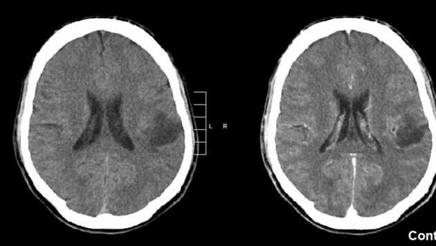
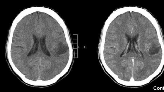
Издание Frontiers in Psychiatry рассказало о весьма необычном случае, который произошел с 48-летней женщиной, поступившей в одну из швейцарских больниц. У нее нашли многочисленные раны груди, глубина которых достигала 7 см. Женщина заявила, что нанесла ранения себе сама, поскольку ей приказали так сделать «божественные голоса». Причем речь, по ее словам, шла о «религиозном самопожертвовании». После этого сотрудники больницы пригласили психиатров, однако проблема, как оказалась, крылась не столько в сфере их компетенции, сколько в сфере компетенции онкологов. Пациентка заявила, что на протяжении трех последних лет ощущала себя «благословенной» и общалась с голосами, возникавшими у нее в голове. Сама она полагала, что они «исходят с небес». По словам женщины, было два голоса, с которыми она могла общаться долгие часы и которые разговаривали с ней на самые разные темы. В зависимости от направления общения она чувствовала себя испуганной или же, наоборот, ощущала защиту и благословение. Как выяснили медики потом, на протяжении всей жизни пациентка несколько раз переживала всплески религиозности, которые потом шли на убыль. Причем впервые она столкнулась с чем-то подобным еще в 13 лет. Получив общую картину, психиатры пришли к заключению, что женщина страдает от психоза. Было решено провести МРТ. Именно оно показало наличие опухоли мозга — злокачественной глиомы. По словам одного из авторов исследования Себастьяна Вальтера (Sebastian Walther), опухоль, вероятно, возникла еще в раннем возрасте и росла на протяжении всей жизни чрезвычайно медленными темпами, периодически влияя на поведение пациентки. Медики не могут полностью определить механизмы воздействия опухоли на взгляды и переживания больной. Специалисты полагают, что при разрастании глиома начала оказывать давление на прилежащие области мозга, ответственные за обработку звука и влияющие на формирование эмоций. В конечном итоге это вызвало религиозный подъем и слуховые галлюцинации. Расположение опухоли не позволяет провести операцию по ее удалению. Поэтому медики сделали все, что могли в данной ситуации, а именно выписали больной антипсихотические препараты. Они на некоторое время затормозили развитие галлюцинаций. Однако последние появились вновь после снижения доз.

Суицидальные наклонности связали с увеличением опухоли мозга
© Naked-Science.ru