Рентген укажет на жертв домашнего насилия

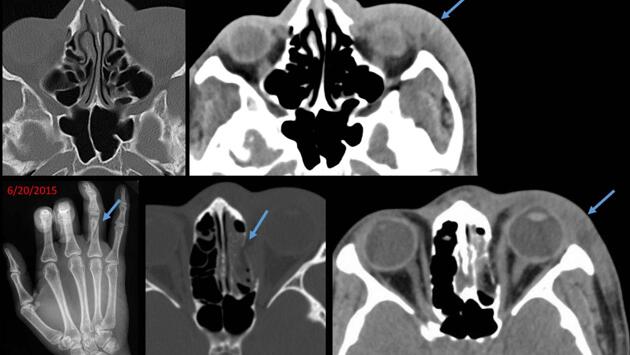
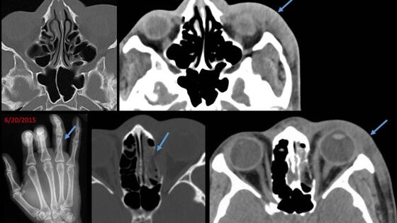
Медики из Женской больницы имени Бригэма определили признаки, по которым рентгенолог может понять, что его пациент – жертва домашнего насилия. Результатами своего исследования ученые поделились на ежегодном съезде Радиологического общества Северной Америки. «Рентгенологи должны осознавать, что жестокость со стороны близкого человека – распространенная проблема. С ней сталкивается каждая четвертая женщина в Соединенных Штатах. Так что у многих наших пациентов может быть такая несчастливая история», – рассказала один из авторов работы, рентгенолог из Женской больницы имени Бригэма Элизабет Джордж. Исследование началось с того, что в Женскую больницу обратилась молодая женщина с переломом носовой кости, наложенным на похожий залеченный перелом. Просмотрев данные о пациентке, врачи обнаружили также недавний перелом запястья. Такие повторяющиеся травмы заставили врачей заподозрить насилие. В ходе работы ученые проанализировали медицинские карточки пациентов, заявлявших о случаях домашнего или сексуального насилия с января по октябрь 2016 года, и обнаружили несколько характерных повреждений. «На рентгеновских снимках мы часто замечали повреждения мягких тканей и переломы конечностей, особенно рук, которые происходят при попытках защититься. Другие часто встречающиеся травмы относятся к повреждению костей лица как легко доступной области. Такие травмы могут предупредить рентгенолога о том, что, возможно, он имеет дело со случаем домашнего насилия», – заключила Джордж.

Рентген укажет на жертв домашнего насилия
© Индикатор