Открыт новый способ контролируемого заражения людей лейшманиозом

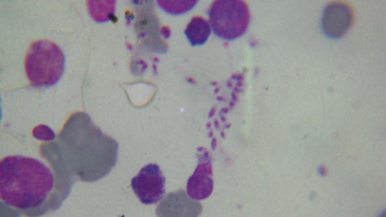
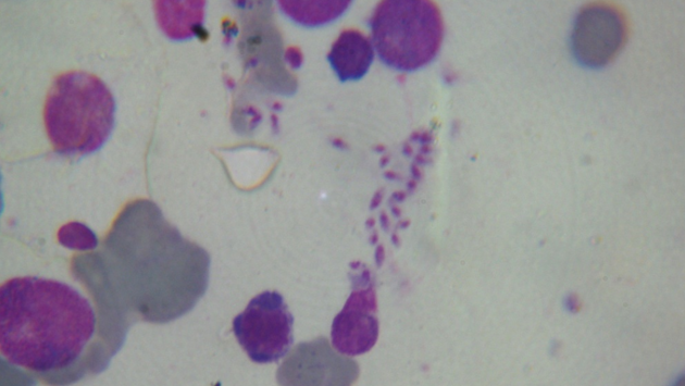
Международная команда ученых протестировала новую модель заражения людей тропической болезнью лейшманиозом. В ходе эксперимента 14 добровольцев были подвергнуты укусу песчаных мух, переносящих одну из самых легких форм заболевания. Авторы смогли проследить за развитием лейшманиоза и остановить инфекцию, удалив пораженный участок кожи. По словам ученых, участники хорошо перенесли заражение, а новые данные позволят ускорить тестирование вакцин против лейшманиоза. Исследование опубликовано в журнале Nature Medicine.Лейшманиоз — тропическая болезнь, вызываемая микроскопическими простейшими Leishmania. Они передаются человеку во время укуса инфицированных москитов. Ежегодно от лейшманиоза страдает более миллиона человек в мире. У большинства из них на месте инфекции образуется медленно заживающая язва, после которой остается рубец. До сих пор не существует вакцины или лекарства, предотвращающих заражение лейшманиозом. Это связано со сложностями проведения клинических испытаний в тропических странах, где заболевание наиболее распространено.Международная команда ученых решила это исправить. Они сосредоточились на контролируемых заражениях добровольцев — в ходе эксперимента участники получают небольшое количество микробов, вызывающих заболевание. Благодаря этому исследователи могут получить подтверждение безопасности и эффективности новых вакцин на людях. Команда собрала 14 добровольцев в Йорке, Великобритания, и подвергла их воздействию песчаных мух. Насекомые были заражены простейшими, вызывающими одну из самых легких форм лейшманиоза. Ученые проследили за развитием заболевания в месте укуса песчаной мухи, оценили его и остановили инфекцию, удалив пораженный участок кожи. Затем исследователи изучили материал и проанализировали иммунные реакции в месте заражения.Контролируемое заражение людей уже использовалось для разработки вакцин против других заболеваний: холеры, малярии, гриппа, лихорадки денге и коронавируса. По словам ученых, новая модель заражения безопасна и хорошо перенеслась участниками. Полученные данные позволят понять, как возникает иммунитет к инфекции и ускорят тестирование вакцин против лейшманиоза.

Открыт новый способ контролируемого заражения людей лейшманиозом
© InScience