Найден способ помешать метастазированию рака

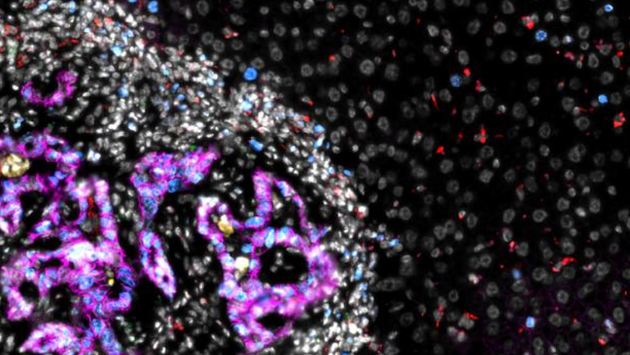
Исследователи обнаружили белок семафорин класса IV на поверхности клеток колоректального рака и рака поджелудочной железы и белок плексин B2 на клетках печени. Эти белки связываются друг с другом и помогают образовываться метастазам. Медики могут воздействовать на эту связь, чтобы предотвратить метастазирование. Новые данные помогут разработать методы лечения некоторых видов рака. Результаты исследования опубликованы в журнале Nature.В девяти из десяти случаев причиной смерти от рака становятся множественные метастазы, нарушающие функции органов. Метастазы — это вторичные опухоли, созданные «разбежавшимися» по организму раковыми клетками. Современная медицина еще не может препятствовать метастазированию. Однако ученые пытаются найти способы борьбы с этим процессом.У разных видов рака метастазирование протекает по разному. Например, колоректальный рак и рак поджелудочной железы часто метастазирует в печень из-за особенностей кровоснабжения этих органов. Опухолевые клетки по кровотоку проходят до капилляров печени и приживаются там.Научная группа проанализировала гены и белки в печени у мышей. Ученые хотели выяснить, какие вещества помогают связываться опухолевым клеткам и гепатоцитам (клеткам печени). Для этого они отслеживали транспозоны (подвижные участки генома) и использовали флуоресцентные метки для обозначения нуклеиновых кислот в генах.Исследователи определили, что соединение белков плексинов B2 в печени и семаформинов класса IV в опухолевой клетке обусловливает образование метастазов. После попадания в капилляры печени раковые клетки оседают там за счет соединения семафорина и плексина, и происходит эпителизация соединившихся клеток. Если в опухолевой клетке много белка семафорина, то метастазы в печени появятся с большей вероятностью. «Если попытки подавить важнейшее взаимодействие между плексином и семафорином увенчаются успехом, то, возможно, удастся предотвратить возникновение новых опухолей. Это связано с тем, что на ранних стадиях, когда связи между клетками в этой экосистеме еще не прочно установились, метастазы опухолей особенно уязвимы», — рассказал Андреас Мур из Швейцарской высшей технической школы Цюриха.Автор: Анна Гуль.

Найден способ помешать метастазированию рака
© InScience