Вид и запах еды запускают работу печени

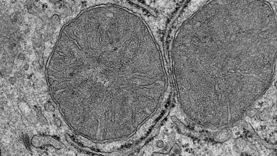
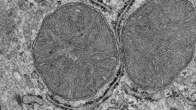
Ученые обнаружили, что вид и запах еды запускают фрагментацию митохондрий в клетках печени. Процесс начинается с РОМС-нейронов, которые активируют протеинкиназы. Исследование опубликовано в журнале Science.Когда наши органы чувств обнаруживают пищу, организм готовится к ее приему, вырабатывая слюну и желудочный сок. В новом исследовании ученые внимательно рассмотрели митохондрии в клетках печени, которые очень важны для метаболизма и выработки энергии.Ученые проводили опыты на мышах. Голодные животные могли только видеть еду и ощущать ее запах. Проанализировав состояние митохондрий в печени спустя всего несколько минут, ученые обнаружили, что в организмах мышей запустились процессы, обычно стимулируемые потреблением пищи. Исследователи обнаружили, что митохондрии клеток печени изменили свою форму и подготовили печень к метаболизму глюкозы — прохождению пути углеводами, содержащимся в пище, с момента, когда мы их употребляем, до момента, когда они достигают клеток.Такую реакцию запускают РОМС-нейроны, которые активируются условно рефлекторными стимулами — видом или запахом еды. Они могут всего за несколько секунд подать печени сигнал о том, что нужно приготовиться к приему пищи.РОМС-нейроны активируют протеинкиназы семейства B. Они запускают фосфорилирование (замещение любого атома или группы атомов на остаток фосфорсодержащей кислоты) в митохондриальный белок — фактор деления митохондрий (mitochondrial fission factor, MFF). Мутация, которая подавляет весь процесс фосфорилирования, нарушает и выработку глюкозы в печени. Этот процесс важен для регуляции активности белка и влияет на чувствительность печени к инсулину.Исследование показывает, насколько тесно связаны между собой сенсорное восприятие пищи, адаптивные процессы в митохондриях и чувствительность к инсулину, которая нарушается при сахарном диабете второго типа. Результаты могут помочь в его лечении.Автор: Екатерина Новикова.

Вид и запах еды запускают работу печени
© InScience