Медики создали молекулы, уничтожающие клетки рака мозга

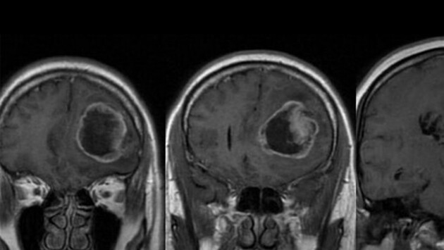
Журнал Science опубликовал исследование ученых из Йельского университета, в котором они описали новый способ лечения рака головного мозга. Этот подход предполагает избирательное уничтожение раковых клеток с помощью прямой модификации ДНК. Для этого исследовательская группа разработала специальные молекулы, которые фрагментируются в клетках и вызывают модификации ДНК раковых клеток. В большинстве случаев, в клетках глиомы II и III степени отсутствует белок репарации ДНК O6-метилгуанин метилтрансфераза (MGMT). MGMT-дефицитные опухоли первоначально реагируют на агент метилирования ДНК темозоломид, однако потом приобретают устойчивость. Разработанные учеными молекулы преодолевают этот механизм резистентности, избирательно индуцируя гибель клеток в опухолях. Эти агенты вызывают динамическое повреждение ДНК раковых клеток. По словам ученых, это открытие поможет создать новые методы лечения глиом и других видов рака. Биологи из США показали, что прием аспирина снижает риск развития рака яичников.

Медики создали молекулы, уничтожающие клетки рака мозга
© Газета.Ru