Неудачно ударился: врачи Ижевска удалили у пациента опухоль, которая казалась шишкой

Ижевск. Удмуртия. В Ижевске провели сложную операцию по удалению опухоли на лбу. Об этом сообщает Минздрав Удмуртии.

Неудачно ударился: врачи Ижевска удалили у пациента опухоль, которая казалась шишкой
© ИА «Сусанин»

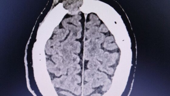
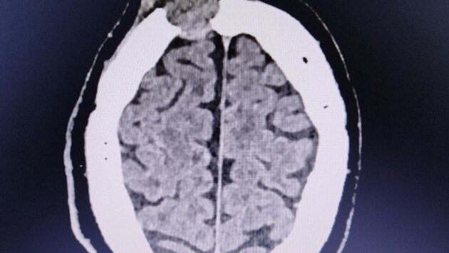
Ранее в ГКБ №7 обратился мужчина, который за три недели до этого ударился и на его лбу выросла шишка. За прошедшее время она не только не прошла, но и немного подросла. Компьютерная томография показала, что это опухоль, которая уже начала разрушать лобную кость. Пациента госпитализировали в нейрохирургическое отделение.

Случай оказался непростым: один край опухоли лежал над самой крупной веной мозга, а другой разрушал стенки лобных пазух. В результате образование создало сообщение между полостью черепа, полостью носа и внешней средой, а это опасно развитием гнойных осложнений.

Нейрохирурги провели сложную многоэтапную операцию. Они смогли удалить опухоль, сохранив все важные сосуды, очистили пораженные лобные пазухи, а также закрыли полость черепа и перекрыли сообщение с носом и внешней средой тканями пациента с бедра. Для восстановления кости лба была использована титановая пластина.

В настоящий момент пациент выписан и находится в удовлетворительном состоянии. Врачи не наблюдают у него каких-либо осложнений.