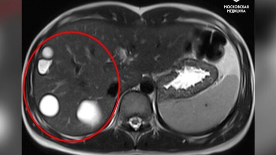
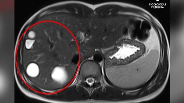
Врачи нашли кисты с паразитами в печени московской школьницы

Столичные врачи больницы имени Сперанского спасли 14-летнюю девочку с паразитарными кистами в печени. Об этом сообщает "Газета.ру" со ссылкой на пресс-службу департамента здравоохранения Москвы.

Врачи нашли кисты с паразитами в печени московской школьницы
© Москва24

Медики обнаружили новообразования случайно, когда проводили плановое обследование. Девочку отправили на операцию.

"Как правило, эхинококкоз выявляется на поздних стадиях и чаще всего случайно", – отметил заведующий хирургическим отделением № 1, профессор Игорь Хворостов.

По его словам, зачастую симптомы заболевания проявляются в виде боли, кашля, незначительной температуры и ощущения тяжести в животе. Также эхинококкоз может вызывать аллергию, подчеркнул Хворостов.

В рамках операции врачи, используя лапароскопию, удалили из печени девочки пять паразитарных кист. Пациентку выписали спустя 5 дней.

Ранее столичные хирурги спасли мальчика с кистозной гигромой на шее, размер которой составлял 6 на 4 сантиметра. Новообразование удалили консервативным методом – без операций. Медики при помощи тонкого катетера ввели в гигрому специальный препарат. Благодаря ему, шишка сдулась и ее стенки спились между собой. Через неделю юного пациента выписали из больницы.