У мальчика нашли редкую болезнь, из-за которой он не мог вертеть головой
Мальчика с редчайшей генетической патологией - синдромом Игла - прооперировали в Москве. Чрезмерно удлиненные отростки черепа сдавливали сосуды и нервы шеи, вызывая нестерпимую боль при каждом движении ребенка головой.

Как удалось узнать «МК», недавно в отделение челюстно-лицевой хирургии Российской детской клинической больницы поступил 11-летний житель Алтайского края. У пациента был редчайший для его возраста диагноз — синдром Игла. Ребенок внезапо начал испытывать сильнейшие боли при любом повороте головы. Родители повели его по врачам.
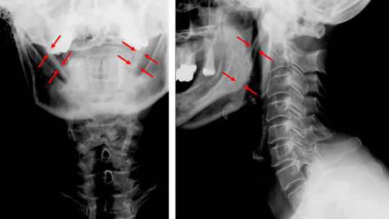
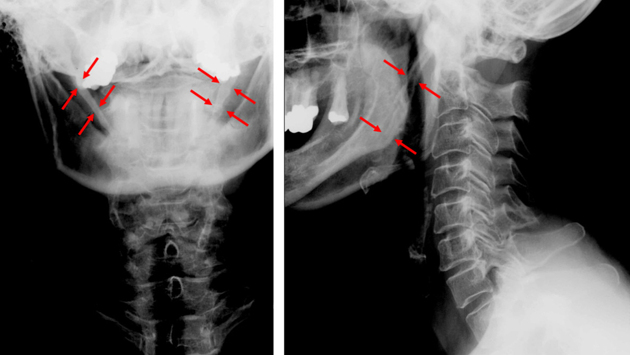
На КТ было обнаружено аномальное удлинение шиловидных отростков — костных выступов у основания черепа. В норме их длина не превышает 3 сантиметров. А у ребенка они выросли до 6 сантиметров с каждой стороны. Это заболевание обычно встречается только у взрослых пациентов в возрасте 30–50 лет. Отростки удлиняются за счет окостенения шилоподъязычной связки. Точные причины этого процесса неизвестны. Но иногда эта связка может начать накапливать кальций на фоне множественных инфекционных заболеваний ротоглотки.
Безопасно удалить эти длинные части, не повредив саму шею, было крайне сложно. Врачи использовали доступ через естественную складку на шее. Во время операции им удалось отделить отростки от сосудисто-нервных пучков и удалить их практически без кровопотери. Боль при поворотах головы перестала беспокоить мальчика сразу же после операции.