Кузбасские врачи извлекли из глаза пациентки паразита длиной 4 сантиметра

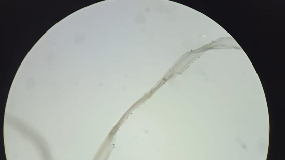
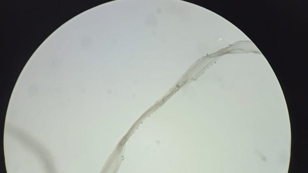
Из глаза пациентки в Кузбассе специалисты извлекли живого паразита, длина которого составила 4 сантиметра.

Кузбасские врачи извлекли из глаза пациентки огромного паразита
© Vse42.ru

О случившемся рассказали представители министерства здравоохранения Кузбасса. Как оказалось, врачи-офтальмологи Кузбасской областной клинической больницы имени С.В.Беляева извлекли из глаза пациентки живого гельминта длиной четыре сантиметра.

Так, женщина обратилась к медикам с жалобой – прямо на глазном яблоке вырос пузырь.

– После осмотра врачи определили причину необычного образования – это дирофилярия. Заражение чаще всего происходит после укуса переносчиков личинок – комаров, слепней и клещей, – объяснили в ведомстве.

Отмечается, что в организме человека паразит растет, может мигрировать под кожей, но обычно не размножается, поскольку с укусом комара попадает только одна особь.

Пациентке выполнили операцию по удалению дирофилярии. Зрение женщины не пострадало.