Стопроцентная смерть: что известно об амебе-«мозгоеде» и как она попадает в организм

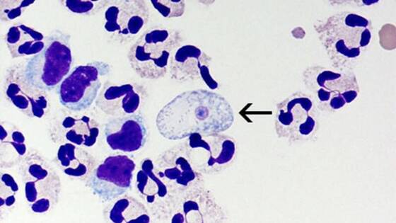
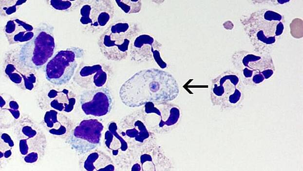
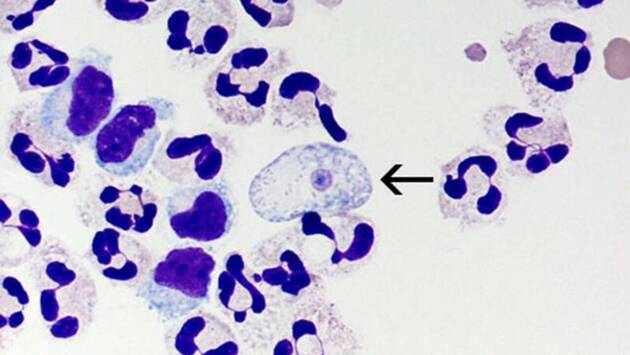
Микроскопическая амеба-«мозгоед» (naegleria fowleri) представляет смертельную опасность для человека. Попадая в мозг, она вызывает первичный амебный менингоэнцефалит, который почти в 100 процентах случаев приводит к летальному исходу. Так, в штате Техас 71-летняя женщина скончалась из-за попавшей в мозг амебы. На восьмой день болезни она умерла в больнице. «Вечерняя Москва» выясняла с экспертом, что это за микроорганизм, насколько он опасен и есть ли шанс выжить в случае заражения.

Что известно об амебе-«мозгоеде» и как она попадает в организм
© Вечерняя Москва

Что это такое и как происходит заражение

Амеба-«мозгоед» — простейшее, которое может поражать центральную нервную систему (ЦНС) человека. Чаще всего она попадает в организм во время купания в пресноводных водоемах. Причем пострадать от амебы может человек без хронических заболеваний, рассказал врач-иммунолог, кандидат медицинских наук Николай Крючков.

При погружении в пресноводный водоем без специального снаряжения в нос затекает вода. Если в ней содержится амеба-«мозгоед», через обонятельные рецепторы и проводящие пути она попадает в луковицу обонятельного анализатора (часть нервной системы, которая помогает чувствовать и различать запахи — прим. «ВМ»), затем в головной мозг и поражает его, — пояснил врач.

Подхватить амебу можно в любом пресноводном водоеме, среди таких:

  • плохо очищенный бассейн;
  • пруд.

Симптоматика

По мнению врача, сложность лечения амебного менингоэнцефалита заключается в том, что его очень сложно выявить на ранней стадии, потому что проявления недуга схожи с любыми другими формами менингоэнцефалита. Среди них:

  • общее недомогание;
  • сильная слабость;
  • светобоязнь;
  • головная боль;
  • спазмы в мышцах;
  • температура;
  • неврологические проявления.

Где распространена амеба-«мозгоед»

Амебный менингоэнцефалит встречается не так часто, хотя сами амебы живут повсеместно, во многих странах и на разных континентах. Их естественная среда обитания — пресная, хорошо прогретая вода. Чаще всего, отметил Крючков, «мозгоеды» регистрируются в водоемах:

  • южных регионов;
  • Великобритании;
  • США;
  • Мексики;
  • Австралии;
  • Новой Зеландии.
Лидерами по выявленным случаям болезни являются США и Мексика. В нашей же стране пока не было зафиксировано ни одного случая заражения амебой-«мозгоедом». Но, возможно, ее просто не удавалось диагностировать из-за сложности исследований, — пояснил иммунолог.

Смертельно опасна

При заражении амебным менингоэнцефалитом вероятность летального исхода составляет почти 100 процентов, в этом и есть главное коварство этого недуга, предупредил Крючков.

Как правило, диагностируют это заболевание с большим трудом, потому что есть масса других более распространенных заболеваний с похожей симптоматикой. Лабораторные исследования для выявления микроорганизма включают в себя анализ спинно-мозговой жидкости и биопсию головного мозга. На их проведение уходит очень много времени, а болезнь развивается стремительно. Когда приходят результаты исследования, спасти человека, как правило, уже невозможно, он находится в шаге от смерти. Он гарантированно умирает в течение десяти дней после появления первых симптомов, и только в единичных случаях комплексная терапия позволяет спасти пациента, — пояснил специалист.

В водоемах можно столкнуться и с другими паразитными заболеваниями. Одним из таких может быть церкариоз, который проявляется в виде красных пятен на коже и нестерпимого зуда. Что известно об этой болезни и как ее лечить — в материале «ВМ».