OC: рентген показал сотни кальцинированных яиц ленточного червя в теле пациента

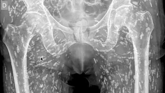
Доктор поделился рентгеновским снимком человека, зараженного кальцинированными яйцами ленточного червя, пишет Oddity Central. Недавно врач отделения неотложной помощи Сэм Гали опубликовал уникальный рентгеновский снимок, который он назвал "одним из самых невероятных" за всю свою карьеру. На снимке видно, что нижняя часть тела пациента буквально усеяна сотнями кальцифицированных яиц ленточного червя. Ленточные черви — это паразиты, которые обычно обитают в кишечнике, питаясь питательными веществами. Однако мало кто знает, что их яйца могут мигрировать по всему организму, включая мышцы, жировую ткань и даже мозг, а их присутствие в тканях может вызывать серьезные осложнения. Как объяснил Гали, специализирующийся на сердечно-сосудистых неотложных состояниях и радиологии, случай пациента связан с заболеванием, известным как цистицеркоз. При этом пациент даже не подозревал о своем состоянии. Он обратился за медицинской помощью после падения и жалоб на боль в бедре. Чтобы избежать подобного заражения, врачи рекомендуют воздерживаться от употребления сырой или недостаточно приготовленной свинины и рыбы, а также соблюдать правила гигиены.

OC: рентген показал сотни кальцинированных яиц ленточного червя в теле пациента
© Газета.Ru