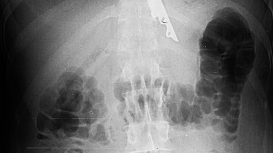
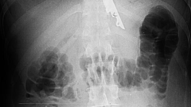
В Москве хирурги спасли мужчину с 20-сантиметровым ножом в желудке

В Москве врачи спасли пациента, у которого в желудке после пикника оказался 20-сантиметровый нож. Об этом сообщает НИИ скорой помощи им. Склифосовского. По информации медучреждения, мужчина во время поедания шашлыка подавился кусочком мяса. Его друзья попытались помочь ему, протолкнув пищу ножом, однако острый предмет также оказался в пищеводе пострадавшего. В результате пострадавшего доставили в медицинское учреждение, где хирурги извлекли инородный предмет из желудка пациента. Операция прошла успешно, сейчас жизни мужчины ничего не угрожает. Врачи отметили, что случаи проглатывания посторонних предметов часто происходят как по случайности, так и в результате нелепых споров. До этого в Липецкой области врачи спасли 18-летнюю девушку с гигантской опухолью в яичнике. Она на протяжении года страдала от болей в животе, который постоянно увеличивался, и не обращалась за медицинской помощью.

В Москве хирурги спасли мужчину с 20-сантиметровым ножом в желудке
© Газета.Ru