LADBible: пенис американца превращается в кость из-за редкого заболевания

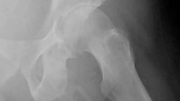
Мужчина из США рассказал, что его пенис превращается в кость из-за редкого заболевания, пишет LADBible. По словам американца, изменения в органе начали происходить после того, как он упал на улице. Как сообщают СМИ, 63-летний мужчина обратился в больницу Нью-Йорка с жалобами на боль в левом колене после падения на тротуар. Пациента отправили на рентген, потому что врачи подозревали у него возможный перелом в бедренной кости, что и могло быть причиной дискомфорта. Однако вместо перелома врачи обнаружили нечто гораздо более необычное – у мужчины образовалась "внескелетная кость" в пенисе. По словам специалистов, эта костеподобная кальцификация накапливалась в мягких тканях вдоль пениса американца, делая его твердым, как кость. Сам процесс простыми словами называется окостенением полового члена и является чрезвычайно редким заболеванием, которое наблюдается менее чем у 40 человек в мире. Сам пациент рассказал медикам, что иногда испытывает боли в пенисе, но никогда не придавал этому значения. Врачи рекомендовали ему дальнейшее обследование и лечение, однако он решил покинуть больницу без дальнейшего наблюдения.

LADBible: пенис американца превращается в кость из-за редкого заболевания
© Газета.Ru