В Башкирии врачи извлекли из желудка ребенка металлическую заколку

В Уфе четырехлетняя девочка случайно проглотила металлическую заколку в виде стрекозы, ее экстренно доставили в больницу скорой медицинской помощи. Об этом сообщается в Telegram-канале Минздрава Башкирии.

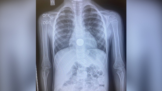
Врачи извлекли из желудка ребенка металлическую заколку
© Газета.Ru

В ходе обследования ребенка медики обнаружили в желудке инородный предмет — металлическую заколку в форме бабочки, которую девочка проглотила, играя дома.

Операцию пришлось проводить под общим наркозом, инородный предмет удалили за 10 минут. Сейчас жизни и здоровью пострадавшей ничего не угрожает, девочка пока находится под медицинским наблюдением.