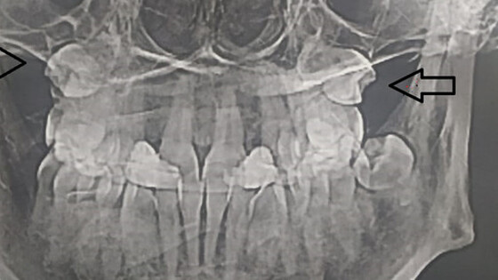
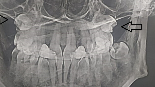
У жительницы Самары в носу выросли зубы

Жительница Самары обнаружила, что в гайморовых пазухах у нее выросли зубы, сообщает ГТРК "Самара".

У жительницы Самары в носу выросли зубы
© Газета.Ru

Об этом женщина узнала, сделав МРТ.

Выяснилось, что "четверки" (зубы которые идут после клыков) выросли вместо челюсти в носу. Жительницу Самары направили на операцию, где под общим наркозом удалили зубы.

Она рассказала, что чувствует себя хорошо, а дышать ей стало гораздо легче.

Ранее сообщалось, что в Германии стоматолог удалил пациенту самый длинный зуб в истории и попал в Книгу рекордов Гиннесса. Когда врач измерил длину зуба, оказалось, что она составляет 3,72 см.