Найдена связь между иммунной системой и смертельными лимфомами

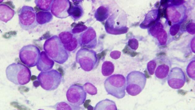
Исследователям удалось обнаружить генетическую связь между иммунной системой человека и лимфомами. Ученые из Института онкологических исследований в Лондоне идентифицировали шесть новых генетических изменений, увеличивающих риск развития лимфогранулематоза — одного из самых распространенных видов рака у молодых людей. Значительное количество изменений ДНК, судя по всему, влияет на функционирование иммунной системы. Три из этих изменений ранее были связаны с аутоиммунными болезнями вроде волчанки, рассеянного склероза и ревматоидного артрита. Ученые подчеркивают, что обнаруженная ими связь вовсе не означает, что все люди с аутоиммунными болезнями обязательно столкнутся с лимфомой, однако она дает в распоряжение науки важные генетические данные для более глубокого понимания как лимфом, так и аутоиммунных заболеваний. Одно из подобных генетических изменений, выявленных учеными, увеличивало риск лимфогранулематоза более чем на треть, а другие — не менее чем на 15%. Эту информацию теоретически можно использовать в качестве потенциальной основы для разработки лекарств от этого вида рака. Свои выводы исследователи сделали на основе анализа генетического материала по более чем 5 тысячам пациентов с лимфогранулематозом и ещё 16 749 людям из контрольной группы, которые не страдали от этого вида рака. Это пока самое крупное по масштабам исследование по данному вопросу.

Найдена связь между иммунной системой и смертельными лимфомами
© ИД "Собеседник"