Раскрыт механизм заражения белками-«зомби»

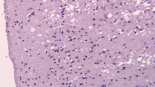
Американские исследователи создали модель прионных заболеваний, описав различные стадии нейродегенеративного расстройства в сетчатке мышей. Это позволило ученым понять, как развивается инфекция и какие усилия можно приложить, чтобы остановить разрушение нейронов. Статья биологов опубликована в журнале American Journal of Pathology. В экспериментах авторы работы использовали мышей, генетически модифицированных таким образом, что в их головном мозге возникают прионы — неправильно свернутые белки, которые воздействуют на нормальные белки, превращая их в такие же прионы. Принцип действия этих белков напоминает зомби из фильмов ужасов, которые превращают здоровых людей в себя. В данном случае болезнь, которой страдали грызуны, называлась скрэппи, и ею, в основном, болеют овцы. Ученые определили, насколько быстро патогенные белки перемещаются из мозга в сетчатку, накапливаются в ней, вызывая воспалительную реакцию и гибель нейронов. Считается, что развитие прионного заболевания зависит от скорости, с которой прионы переходят от одной нервной структуры к другой. Изучая накопление белков в сетчатке, ученые определили временной промежуток между стадиями заболевания. Эта информация поможет исследователям разработать методы лечения, предотвращающие накопление прионов при таких болезнях, как синдром Крейтцфельдта — Якоба, развитие воспаления нервных тканей и гибель клеток.

Ткань головного мозга больного болезнью Крейтцфельдта — Якоба.
Ткань головного мозга больного болезнью Крейтцфельдта — Якоба.© Jensflorian / Wikipedia