
Ученые установили, что загрязненность водоемов можно оценивать по тому, насколько активно в печени рыб работают белки, обезвреживающие токсины. Так, у рыб, выловленных в загрязненных районах Ладожского озера, уровень фермента, необходимого для разрушения таких веществ, оказался в 15–20 раз выше, чем у животных, обитавших в чистой воде. Полученные данные позволят специальным службам точнее оценивать экологическое состояние водоемов по всей России. Результаты исследования, поддержанного грантом Российского научного фонда (РНФ), опубликованы в журнале Veterinary Sciences.
Пестициды и отходы с промышленных предприятий могут попадать в реки и озера. Они проникают в организм рыб через жабры и пищеварительный тракт, накапливаются в тканях, особенно в печени, и приводят к гибели ее клеток. Однако в печени есть белки, обезвреживающие опасные вещества, один из которых — цитохром P450-редуктаза. Когда токсинов в организме животного оказывается много, этот белок интенсивно работает, поэтому по его активности потенциально можно определить, насколько загрязнен водоем.
Ученые из Санкт-Петербургского государственного университета ветеринарной медицины (Санкт-Петербург), Всероссийского научно-исследовательского института патологии, фармакологии и терапии животных (Воронеж) и Всероссийского научно-исследовательского института рыбного хозяйства и океанографии (Санкт-Петербург) доказали, что загрязненность воды, здоровье рыб и уровень цитохрома P450 взаимосвязаны.
Авторы взяли пробы воды у побережья Ладожского озера вблизи Шлиссельбурга и других населенных пунктов — в местах с наибольшим влиянием человека на окружающую среду. В этих же районах биологи выловили 40 карповых и окуневых рыб. Для сравнения ученые также использовали 40 здоровых рыб, выращенных на ферме. У рыб брали кровь, образцы печени и мышц. Уровень цитохром P450-редуктазы определяли с помощью подхода, при котором специальные антитела связываются с нужным белком.
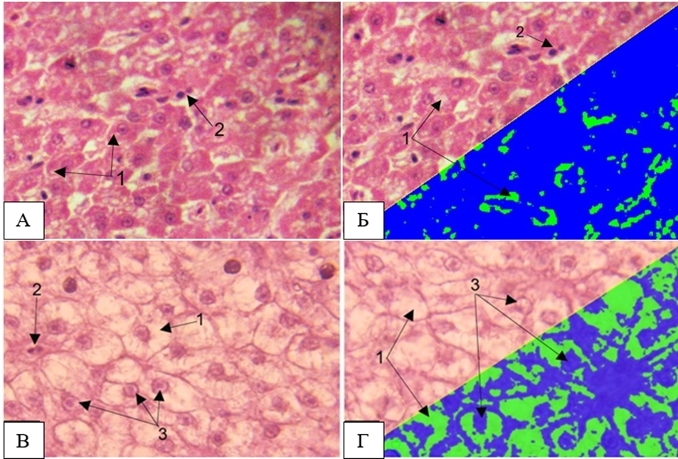
Исследователи установили, что вода в изученных районах была загрязнена тяжелыми металлами: их содержание превышало предельно допустимую концентрацию в 2–5 раз. Ученые определили, что у рыб из озера разрушилось до 33% клеток печени, и на их месте образовались рубцы. Кроме того, у животных оказались повреждены жаберные «лепестки», фильтрующие воду, и жаберные сосуды, в которых кровь насыщается кислородом.
По сравнению с контрольными особями в печени рыб из Ладожского озера в 15–20 раз был выше уровень цитохром P450-редуктазы. Это говорит о том, что системы обезвреживания опасных веществ в организме работают очень активно. Таким образом, по состоянию рыб потенциально можно выявлять районы с наибольшим загрязнением воды. При этом отслеживание, насколько повреждена печень у рыб, позволит фиксировать загрязнение водоема до того, как уровень тяжелых металлов в воде превысит допустимые значения.
«Использование цитохром P450-редуктазы в качестве ключевого индикатора позволит создать более экономичные и чувствительные системы отслеживания состояния водоемов. С помощью этого показателя природоохранные службы смогут объективно разделять территории по экологическому риску и оценивать эффективность очистительных мероприятий. При этом новый подход позволит прогнозировать качество воды в озере и тем самым предотвращать возможный ущерб от загрязнения. В дальнейшем мы планируем установить, как патологические процессы в тканях зависят от уровня цитохром p450-редуктазы и как предложенная методика воспроизводится на других животных, в том числе сельскохозяйственных», — рассказывает руководитель проекта, поддержанного грантом РНФ, Владимир Понамарев, кандидат ветеринарных наук, доцент кафедры фармакологии и токсикологии Санкт-Петербургского государственного университета ветеринарной медицины.