Искусственный интеллект буквально показал, как выглядит хронический стресс

Врачи из Университета Джонса Хопкинса на конгрессе RSNA 2025 представили первый в мире визуальный биомаркер хронического стресса. Он позволяет буквально увидеть, как годы напряжения «разъедают» организм изнутри, причем увидеть это можно на обычных КТ-снимках грудной клетки, которые миллионы людей делают каждый год по любому поводу.

ИИ показал, как выглядит хронический стресс
© Naukatv.ru

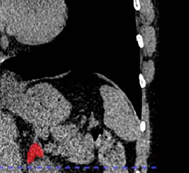
Надпочечники — это «барометр» стресса

© Naukatv.ru

Взяли базу данных проекта MESA — одного из самых долгосрочных исследований атеросклероза в США. 2842 человека среднего возраста 69 лет, половина женщин. За участниками наблюдали 10 лет и фиксировали инфаркты, инсульты, сердечную недостаточность и смерть.

Результаты оказались впечатляющими. Люди с высоким AVI:

  • имели достоверно более высокий утренний и вечерний кортизол,
  • хуже спали,
  • чаще отвечали «да» на вопросы «Чувствуете ли вы, что не справляетесь с делами?»,
  • имели больший индекс массы левого желудочка (сердце уже начало утолщаться),
  • в 1,4–1,8 раза чаще попадали в больницу с сердечной недостаточностью за следующие 10 лет.
«Каждое увеличение индекса AVI повышало риск сердечной недостаточности и смерти независимо от всех остальных факторов — возраста, курения, диабета, давления», — подчеркивает Елена Готби.

Почему это важнее разового кортизола

Обычный анализ на кортизол показывает только «сиюминутную картинку». Утром может быть высокий, вечером низкий, после кофе — скачок. А объем надпочечников — это как годовые кольца на дереве: он отражает, сколько лет человек провел в состоянии «бей или беги».

«До сих пор у нас не было способа измерить и количественно оценить кумулятивный эффект хронического стресса, кроме анкет и косвенных маркеров. Впервые мы можем „увидеть“ долгосрочное бремя стресса внутри организма, используя сканирование, которое пациенты уже проходят ежедневно», — говорит старший автор Шадпур Демехри.

Что это меняет на практике

Пока технология проходит финальное тестрирование, но по словам ученых уже через 2–3 года любой человек, делающий обычную КТ грудной клетки, сможет бесплатно получить «стресс-скор» — индекс объема надпочечников. Если он повышен, врач сразу направит к нужному специалисту, не дожидаясь инфаркта или депрессии. В дальнейшем алгоритм встроят прямо в томографы — результат появится через 30 секунд после сканирования.

Тереза Симан из UCLA, которая 35 лет изучает, как стресс разрушает сердце, назвала работу прорывом:

«Эта работа по-настоящему потрясающая: она впервые связала обычный размер надпочечников, который и так виден на КТ, с проверенными маркерами стресса и доказала, что он сам по себе предсказывает риск серьезных проблем с сердцем. Теперь мы можем реально измерить, как годы напряжения "изнашивают" организм, и использовать это в обычной практике».

Пока маркер валидирован на людях 60–80 лет, но авторы уже тестируют его на более молодых группах. Если все подтвердится, через пару лет ваш радиолог сможет сказать:

«У вас чистые легкие, а вот надпочечники увеличены — пора снижать нагрузку и высыпаться».