Ниволумаб может улучшать прогноз при мезотелиоме

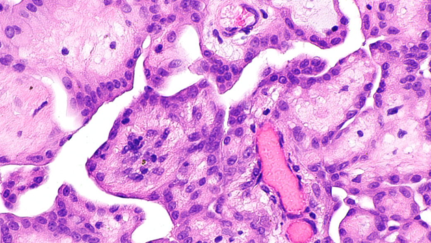
Ученые исследовали влияние препаратов ниволумаба и комбинации ниволумаба с ипилилумабом до и после операции у пациентов с плевральной мезотелиомой — злокачественным заболеванием, поражающим внутреннюю оболочку легких (плевру). Клинические испытания II фазы показали, что эти препараты безопасны и могут продлить жизнь больным с операбельной формой данного вида рака. Результаты опубликованы в журнале Nature Medicine.Мезотелиома — это редкий и опасный вид рака, который развивается в оболочке легких. Чаще всего она встречается у людей, которые долго взаимодействовали с асбестом — вредным веществом из строительных материалов. Хирургические способы лечения против нее часто бесполезны, так как мезотелиома растет не в виде отдельной опухоли, а тонким слоем по всей оболочке легких. Поэтому врачи используют химиотерапию и иногда иммунотерапию. Кроме того, традиционные методы оценки и лечения при мезотелиоме менее эффективны, чем при других видах рака.Исследователи изучили, как терапия препаратами ниволумаб и комбинации ниволумаба с ипилилумабом влияет на пациентов с операбельной диффузной мезотелиомой плевры. Во время клинических испытаний II фазы пациенты получили иммунотерапию только ниволумабом или комбинацией ниволумаба и ипилимумаба перед операцией. Так ученые пытались в числе прочего выявить пациентов, которым операция действительно может помочь, и выбрать подходящих кандидатов для хирургического лечения. После операции ученые продолжали наблюдать за состоянием пациентов и оценивать эффективность терапии.«Иммунотерапия вносит существенный вклад в продление жизни пациентов с раком легких и многими другими солидными опухолями. Это важный шаг в выявлении пациентов с мезотелиомой, которым может быть полезна иммунотерапия в периоперационный период, то есть непосредственно до или после операции, а также в отборе пациентов, которые действительно являются кандидатами на эту операцию», — отметил Джошуа Ройсс из Джорджтаунского университета, США.Для оценки эффективности лечения исследователи использовали несколько методов. Во-первых, они регулярно проверяли состояние пациентов с помощью стандартной визуализации опухоли. Во-вторых, группа применяла анализ циркулирующей опухолевой ДНК (цоДНК) в крови. Этот метод позволял обнаружить мельчайшие следы раковых клеток, которые не всегда видны при обычных обследованиях.Для анализа цоДНК команда использовала полногеномное секвенирование вкДНК (внеклеточной ДНК). Если уровень вкДНК в крови снижался или исчезал, это было хорошим признаком успешного лечения. Напротив, если изменений не было, требовался пересмотр терапии.Результаты показали, что лечение с применением иммунотерапии было безопасным и помогало замедлить повторный рост опухоли, а также увеличить общую продолжительность жизни пациентов.Авторы отмечают, что подобная иммунотерапия может быть полезна для пациентов с мезотелиомой и опухолями, которые можно удалить хирургическим путем, и указывают на необходимость дальнейших исследований.Ученые также продемонстрировали, что использование цоДНК может помочь врачам понять, кто из пациентов с мезотелиомой подходит для операции и иммунотерапии. До сих пор этот метод не применялся в клинике при таком виде рака, но его использование открывает новые возможности для подбора лечения.«Это небольшое исследование, которое не дает ответа на вопрос, улучшит ли неоадъювантная иммунотерапия результаты лечения этих пациентов, но оно открывает новые возможности. Нам нужно использовать полученные знания и провести дополнительные исследования, копнуть глубже, чтобы разработать более эффективные методы лечения пациентов с мезотелиомой», — подытожил Джошуа Ройсс.

Ниволумаб может улучшать прогноз при мезотелиоме
© InScience