Найден способ замедлить рост агрессивного рака

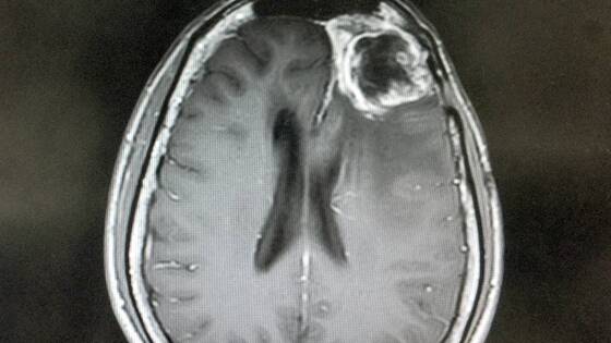
Глиобластома, один из самых агрессивных видов рака мозга, использует глюкозу иначе, чем здоровые клетки. Исследование, опубликованное в Nature, показало: вместо получения энергии и синтеза нейромедиаторов опухоль перенастраивает сахарный обмен, превращая глюкозу в строительные блоки ДНК и РНК. Это ускоряет деление и распространение раковых клеток.

Найден способ замедлить рост агрессивного рака
© Lenta.ru

Ученые проследили метаболизм с помощью меченой глюкозы у пациентов и мышей с опухолями. В коре мозга углерод из сахара использовался для цикла Кребса и работы нейротрансмиттеров, тогда как опухоль отключала эти процессы и добирала недостающие ресурсы из аминокислот, особенно серина.

Когда мышей переводили на диету с ограничением серина и глицина, глиобластома теряла часть топлива для синтеза нуклеотидов. В результате ее рост замедлялся, а стандартные химио- и радиотерапия становилась более эффективными.

Авторы отмечают, что пока это только доклинические данные, но они открывают перспективы для создания новых диетических и терапевтических подходов, способных сделать лечение глиобластомы более результативным.

Ранее ученые сообщили о создании нового противоопухолевого соединения на основе галлия, которое не только уничтожает раковые клетки напрямую, но и активирует иммунную систему, делая опухоль более уязвимой для атаки.