Периодическое голодание нарушает развитие клеток у подростков

Немецкие ученые проследили за тем, как периодическое голодание влияет на здоровье юных, взрослых и пожилых мышей. Спустя 10 недель у взрослых и пожилых особей улучшился метаболизм, а у молодых бета-клетки поджелудочной железы стали хуже вырабатывать инсулин и стали напоминать клетки, характерные для диабета 1-го типа у людей. Новые данные позволят улучшить лечение диабета путем восстановления выработки инсулина. Исследование опубликовано в журнале Cell Reports.

Как периодическое голодание влияет на развитие клеток у подростков
© InScience

Периодическое голодание — популярный метод питания, который ускоряет обмен веществ, снижает вес и защищает от сердечно-сосудистых заболеваний. Однако до сих пор потенциальные побочные эффекты такого питания недостаточно изучены.

Немецкие исследователи решили это исправить. Они сосредоточились на трех группах мышей: молодых (подростках), взрослых и пожилых. Все животные придерживались режима периодического голодания — сутки без еды чередовались с двумя днями обычного питания. Через 10 недель выяснилось, что у взрослых и пожилых мышей метаболизм улучшился: их организм стал лучше реагировать на инсулин, регулирующий уровень сахара в крови. У молодых мышей результаты оказались противоположными. Их бета-клетки поджелудочной железы, вырабатывающие инсулин, стали хуже выполнять свою функцию, что привело к снижению гормона в организме.

«Обычно считается, что периодическое голодание благотворно влияет на бета-клетки, поэтому мы были удивлены, обнаружив, что молодые мыши вырабатывали меньше инсулина после голодания», — рассказал Леонардо Матта, ведущий автор исследования из Института диабета и рака им. Гельмгольца в Мюнхене, Германия.

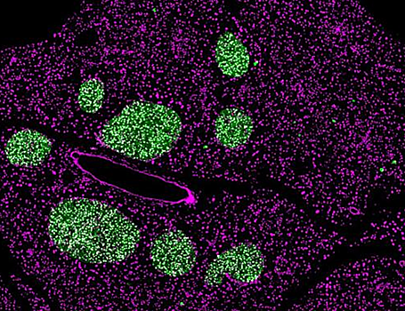
Путем секвенирования отдельных клеток команда обнаружила, что бета-клетки молодых мышей не смогли правильно созреть. В какой-то момент они перестали развиваться и стали напоминать клетки, характерные для диабета 1-го типа у людей. Бета-клетки мышей старшего возраста уже созрели к моменту голодания, поэтому они остались без изменений.

«Наше исследование подтверждает, что периодическое голодание полезно для взрослых, но оно может быть сопряжено с риском для детей и подростков. Следующим шагом будет более глубокое изучение молекулярных механизмов, лежащих в основе этих наблюдений. Если мы поймем, как способствовать развитию здоровых бета-клеток, это откроет новые возможности для лечения диабета путем восстановления выработки инсулина», — подытожил Стефан Херциг, соавтор исследования из Института диабета и рака им. Гельмгольца в Мюнхене, Германия.