Найдена мишень для препарата от устойчивой к лекарствам малярии

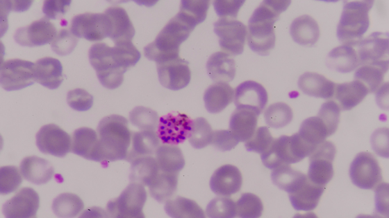
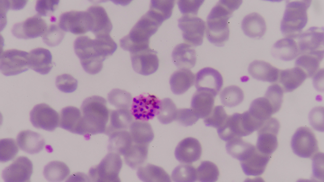
Американские ученые выяснили, что паразит Plasmodium falciparum, вызывающий малярию, зависит от белка PfNCR1. Это вещество регулирует уровень холестерина, необходимого для выживания паразита. Cоединение MMV009108 способно блокировать работу белка и приводить к гибели паразита. В будущем новые данные могут стать основой для создания препарата, способного бороться с малярией. Исследование опубликовано в Science Advances.Малярия — смертоносное инфекционное заболевание, которое передается через укусы инфицированных комаров. Особенно от болезни страдают дети и беременные женщины в развивающихся странах. Лечение малярии до сих пор затруднено из-за паразита Plasmodium falciparum — самого опасного из малярийных возбудителей. Он устойчив почти ко всем лекарствам от заболевания.Американские ученые решили выяснить, как повысить эффективность препаратов от малярии. Они обратили внимание на белок PfNCR1. Исследователи проанализировали структуру белка с помощью микроскопа. Они обнаружили, что PfNCR1 работает как транспортер, который перемещает холестерин и поддерживает стабильность клеточных мембран паразита.Также ученые обнаружили, что соединение под названием MMV009108 способно блокировать действие PfNCR1. Из-за этого Plasmodium falciparum не может контролировать уровень холестерина в крови, теряет возможность поддерживать свои клеточные структуры и погибает.«Этот прорыв является большим шагом вперед в разработке новых методов лечения малярии. Сосредоточив внимание на PfNCR1, ученые могли бы разработать лекарства, к которым паразиту трудно выработать устойчивость, что способствовало бы нашей борьбе с одним из самых смертоносных и устойчивых заболеваний в мире», — рассказал Эдвард Ю, ведущий автор исследования из Университета Кейс Вестерн Резерв, США.Сейчас команда исследует взаимодействие PfNCR1 с различными ингибиторами. Ученые хотят детально исследовать структуру белка и выяснить, какие еще соединения могут блокировать его работу.

Найдена мишень для препарата от устойчивой к лекарствам малярии
© InScience