Неврологи выяснили, как часто COVID-19 поражает мозг

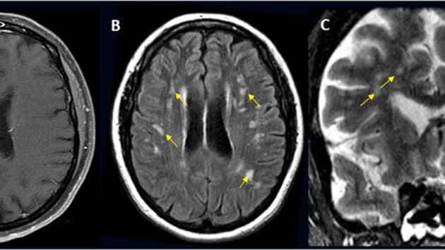
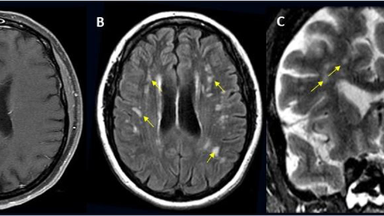
Потенциально смертельные поражения мозга встречаются у каждого сотого пациента, госпитализированного с COVID-19, выяснили неврологи из Университета Томаса Джефферсона. Подробнее об этом они рассказали на ежегодной встрече Радиологического общества Северной Америки. Авторы работы проанализировали почти 40 тыс. случаев госпитализации пациентов с COVID-19. Средний возраст больных составил 66 лет, мужчин среди них было вдвое больше, чем женщин. Самой распространенной причиной госпитализации была спутанность сознания и изменения психики, затем следовала лихорадка. Серьезные осложнения, затрагивающие мозг, развивались у 1,2% пациентов. Чаще всего это был ишемический инсульт, на втором месте по распространенности оказалось внутричерепное кровоизлияние, на третьем - воспаление мозга. Также исследователи наблюдали острый диссеминирующий энцефаломиелит, воспаление спинного мозга и прочие поражения нервной системы. Чтобы успешнее лечить пациентов, важно знать, насколько часто встречаются осложнения со стороны нервной системы, поясняют исследователи. Они предлагают чаще обследовать мозг пациентов с COVID-19, чтобы не упустить патологию, способную погубить жизнь больного.

Неврологи выяснили, как часто COVID-19 поражает мозг
© Газета.Ru